Россия, Челябинская область, Коркино, улица Калинина
Телефон:
+7 (900) 098-04- Показать номер
н-пт: 09:00—18:00; сб: 09:00—17:00
whatsapp telegram vk email

У ребенка киста

Проявления или симптомы новообразований у малыша зависят от места их локализации, типа кисты. Поэтому единого перечня характерных признаков присутствия этого недуга не существует. Если киста находится на коже или под ней, её можно обнаружить даже визуально. Киста же на лёгких, печени, в почках или поджелудочной железе чаще всего вообще никак не проявляется. Наличие такого новообразования обнаруживается только при обследовании на аппаратах УЗИ, КТ или МРТ.

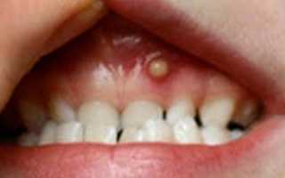
Первыми признаками атеромы (подкожной кисты) является появление на соске малыша безболезненного прыщика белого цвета. Со временем, если не обращать на него внимания и ничего не предпринимать, он может увеличиться в размере и лопнуть. Иногда он отекает, приобретает красный цвет, воспаляется и болит.

Киста на ноге – ганглия – начинается с образования опухоли в тканях коленного или голеностопного сустава. Затем она очень быстро увеличивается в размерах, появляются болевые ощущения, усиливающиеся при ходьбе. Другой разновидностью новообразования на ноге является так называемая киста Беккера. Распознать её можно:

  • по месту нахождения (под коленкой);
  • внешнему виду (яйцевидная форма);
  • болевым ощущениям (особенно при сгибании-разгибании ноги).

Причиной возникновения этой разновидности кисты является повреждение коленных менисков или суставов при получении травмы, наличие остеоартроза или ревматоидного артрита. Интересной её особенностью является то, что если нога согнута в колене, опухоль как бы «прячется» и становится невидимой, при разогнутом колене она сильно выделяется.

Особую группу составляют новообразования в головном мозге ребёнка, которые могут возникнуть вследствие:

  • врождённых нарушений в работе ЦНС;
  • родовых и послеродовых травм;
  • кровоизлияний в мозг;
  • перенесённого менингита или энцефалита.

Все кисты условно делятся на три основных вида: субэпендимальная, арахноидальная и сосудистых сплетений. Общими симптомами их проявления являются:

  • вялость и частые приступы головных болей;
  • нарушения сна и координации движений;
  • эпилептические припадки;
  • рвота, частые приступы тошноты.

Диагностика кисты у ребёнка

При наличии различных симптомов какого-либо вида новообразования малыша необходимо без промедления показать специалистам. Диагностировать заболевание, определить место его нахождения, параметры и степень опасности можно благодаря современным методам исследования, включая:

  • УЗИ,
  • МРТ и компьютерную томографию,
  • исследование кровотока сосудов мозга,
  • специальных анализов.

Стоматологи проводят также рентгеновское обследование полости рта. После установления диагноза определяется способ избавления от недуга.

Причины развития кист

Причин образования кист у ребенка существует очень много. Некоторые из них связаны с нарушением нормальной циркуляции внутритканевой жидкости и перекрытием протока железы. Такие полости называют ретенционными кистами; они, как правило, локализуются в молочных, слюнных, сальных железах, а также в поджелудочной и щитовидной железе.

Рамоляционная киста может появиться в результате повреждения ткани органа при воспалении или другой патологии. Возникают такие кисты в любом месте.

Паразитарная киста у ребенка развивается после проникновения в организм некоторых паразитов. Например, если яйца ленточного глиста попадают в тело малыша, паразит поселяется в печени, защищая личинку хитиновой капсулой, которая и является паразитарной кистой.

Смещение эпителия в брюшной полости, суставах или позвоночнике после перенесенных травм приводит к появлению травматических кист.

У детей часто встречаются врожденные кисты, причинами которых обычно становятся патологии во время беременности, а также хронические заболевания женщины.

Дермоидная киста у ребенка

Дермоидная киста, или дермоид, – образование, имеющее округлую форму и стенки из соединительной ткани. Внутри кистозная полость шероховатая, а снаружи гладкая. Внутренние стенки дермоида по строению похожи на кожу и состоят из многослойного эпителия и надкожицы, имеют сальные и потовые железы, жировые и волосяные включения.

Чаще всего дермоидная киста у ребенка располагается на верхнем или внутреннем крае глазницы, в области виска, на волосистой части головы и нижней части шеи. Иногда дермоид локализуется в области грудины или на дне ротовой полости.

Такая киста у ребенка формируется в период внутриутробного развития, но заметной сразу после рождения она бывает не всегда. Ее величина может достигать размеров крупной горошины и даже грецкого ореха. Дермоид бывает однокамерным или двухкамерным.

Симптоматика патологии часто отсутствует. Обычно выраженность симптомов повышается по мере увеличения кисты. Кроме того, признаки дермоидной кисты появляются при ее воспалении, нагноении либо сдавливании соседних тканей.

Для этого вида кист характерны следующие проявления:

  • Округлая форма, отсутствие спаянности с кожей;
  • Эластичность и плотность на ощупь, безболезненность при пальпации;
  • Неизменность кожи над образованием, отсутствие изъязвлений и высыпаний.

Дермоидная киста у ребенка, которая расположена на веке, способна нарушать четкость зрения. Дермоид на копчике нередко вызывает нарушения мочеиспускания и дефекации. Дермоидное образование на яичнике у девочки становится причиной сильных болей в животе. Если киста локализуется в позадипрямокишечном пространстве, она сдавливает прямую кишку, в результате затрудняется дефекация, а каловые массы выделяются в форме ленты. В случае инфицирования образование может вскрыться наружу или в просвет кишки, способствуя появлению свищей.

Основным методом диагностики кист у ребенка является компьютерная и магнитно-резонансная томография. Лечение дермоидов только хирургическое. В зависимости от локализации, размера кисты и некоторых других факторов, удаление образования может проводиться через маленький прокол (лапароскопия) либо посредством оперативного вмешательства. Операция у деток до семи лет выполняется под общим наркозом, для старших детей применяют местную анестезию.

Киста головного мозга у ребенка

Кисты мозга похожи на маленький шарик, заполненный водой. Иногда они представляют собой ограниченный участок мозговой оболочки, стенки которого слиплись после перенесенного воспалительного процесса.

Часто врожденная киста головного мозга у ребенка образуется в результате воспаления, которое малыш перенес в материнской утробе. Еще одной распространенной причиной появления такого кистозного образования у детей называют родовые травмы.

Существует много классификаций кист головного мозга. Согласно одной из них, кисты бывают арахноидальные и церебральные. Арахноидальная киста локализуется на поверхности мозга; наиболее частой причиной ее образования является перенесенный воспалительный процесс.

Церебральная киста у ребенка формируется в толще мозга, поэтому ее еще называют внутримозговой. Такая кистозная полость чаще всего образуется после родовой травмы. Церебральные кисты, по сути, являются скоплением жидкости на месте погибшего участка мозга. Таким образом, жидкость замещает утраченный объем мозгового вещества.

Симптомы, свидетельствующие о наличии внутримозговой кисты у ребенка, зависят от места ее локализации, вида, размера и многих других факторов. Наиболее частыми признаками заболевания являются головные боли, чувство давления или распирания в голове, нарушения слуха и зрения, шум в ухе, нарушение равновесия.

Диагностика кисты головного мозга у ребенка проводится с помощью МРТ или КТ. Лечение данной патологии только хирургическое: радикальное или паллиативное. Радикальная хирургия заключается в трепанации черепа с последующим удалением кисты. Паллиативные методы включают шунтирование (содержимое кисты удаляют с помощью шунтирующей системы) и эндоскопию (киста извлекается эндоскопом).

Нередко киста у ребенка рассасывается самостоятельно. Это особенно характерно для врожденных образований: они исчезают в течение первого года жизни. В некоторых случаях киста может существовать у человека всю жизнь, ничем себя не проявляя. Если же возникает необходимость в удалении кистозной полости, важно сделать это своевременно и у опытного хирурга.

Врожденная киста мозга

У ребенка врожденная киста мозга, согласно статистике, встречается достаточно часто. Около 40 процентов новорожденных малышей рождаются с этим диагнозом. Образования могут быть единичными либо множественными, фиксируются в любых областях головного мозга. Часто киста выявляется еще в момент нахождения плода в утробе, а к моменту рождения без постороннего вмешательства рассасывается самостоятельно.

Прямой угрозы для жизни младенца образование не представляет. Однако при больших его размерах возможны серьезные нарушения в развитии формирующегося организма. Поэтому без внимания эту патологию оставлять нельзя.

Выделяют такие основные виды врожденных кист мозга у детей:

  • Врожденная арахноидальная киста – размеры ее могут быть разные, развивается между арахноидальной оболочкой и поверхностью головного мозга. Основная особенность и опасность – способность к быстрому росту, в результате чего сдавливаются близлежащие ткани и развиваются опасные осложнения. Встречается субарахноидальная киста чаще всего у новорожденных мальчиков.
  • Врожденная ретроцелебеллярная киста (ее еще называют внутримозговой или церебральной) – может развиться в любом отделе мозга, чаще всего глубоко внутри, затрагивая серое вещество. Основная причина – травмы во время родов. Узкие родовые пути, неосторожная помощь акушера и тому подобное могут привести к кровоизлияниям, на месте которых впоследствии образовываются кистозные полости.
  • Субэлендемальная киста – развивается вследствие нарушения кровообращения в желудочках мозга. Из-за кислородного голодания отмирают участки тканей – на их месте образуются кистозные полости.
  • Киста сосудистых сплетений (псевдо киста) – фиксируется у плода еще в утробе, чаще всего рассасывается уже до рождения. Сосудистая киста головного мозга у новорожденного является осложнением после перенесенных женщиной в период беременности воспалительных процессов различной этиологии.
  • Порэнцефалическая – патология редкая. Развивается это кистозное образование у ребенка при внутриутробном развитии. Заболевание провоцируется негативным воздействием вирусных инфекций (чаще всего – это цитомегаловирус).
  • Киста прозрачной перегородки – диагностируется у половины доношенных и практически у всех недоношенных новорожденных. Образуется из-за нарушения свободной циркуляции ликвора и накопления его в зоне перегородки. В большинстве случаев рассасывается сама по себе.

Причины образования врожденных кист мозга

Такая патология, как киста головного мозга у новорожденного, может развиться в результате:

  • врожденных патологий ЦНС;
  • родовых/послеродовых травм;
  • тяжелых воспалительных процессов в головном мозге;
  • поражения инфекциями;
  • недостаточности мозгового кровообращения.

Вышеперечисленные причины ведут к дегенерации тканей мозга, некрозу. В пораженных областях формируются кистозные полости, со временем они заполняются жидким содержимым, сдавливают окружающие ткани. Эти процессы сопровождаются неврологической симптоматикой и часто приводят к задержке роста и развития ребенка.

Симптомы кисты мозга у новорожденного

Выраженность симптоматики зависит от разных факторов. Особое значение в данном случае имеют размеры и место локализации кисты:

  • Если образование развивается в области затылка – у малыша ухудшается зрение. Установить это для педиатра при осмотре не представляет особой сложности – четко определяется ухудшение остроты зрения, двоение, туман перед глазами.
  • Возникшая в мозжечке киста дает нарушение координации движений. Ребенок мало двигается, плохо ходит, часто наблюдаются головокружения.
  • Кистозная полость рядом с гипофизом чревата гормональными нарушениями по мере взросления – половое развитие будет замедленное. При больших размерах кисты могут разойтись швы в костях черепа, что вызовет задержку умственного и физического развития.

Если у ребенка диагностирована киста, особый контроль следует уделять показателям внутричерепного давления. Оно, по мере роста новообразования, может сильно увеличиваться. Крупная киста мозга у новорожденных, множественные кисты, сдавливая окружающие ткани, вызывают такую симптоматику:

  • нарушения обоняния, слуха, зрения;
  • мышечный гипертонус или гипотонус;
  • сонливость, бессонница;
  • разные по интенсивности, продолжительности, характеру головные боли – ноющиеспазматические, временныепостоянные;
  • срыгивание, рвота;
  • нарушение двигательной координации;
  • внезапные обмороки;
  • напоминающие эпилептические судорожные припадки;
  • пульсация в родничке, его набухание;
  • преходящий частичный паралич рук, ног.
  • онемение конечностей.

Постановка точного диагноза у малышей до года проблем не представляет. Пока родничок не закрыт, локализация и размер образования легко определяются при проведении узи (нейросонография). При подозрении на кисту головного мозга у детей старше года назначается компьютерная и магнитно-резонансная томография.

Если ребенок родился недоношенным, ослабленным, его невролог сразу включает в группу риска по этой патологии. Нейросонография также обязательно назначается детям, перенесшим гипоксию либо реанимационные процедуры.

При определении вызванных инфекциями либо нарушением кровообращения кист понадобятся дополнительные исследования:

  • Допплерография кровеносных сосудов – помогает выявить различные сосудистые патологии.
  • Анализы крови (свертываемость, инфекции, холестерин, наличие аутоимунных патологий).
  • Изучение функций сердца, измерение кровяного давления.

Лечение кисты головного мозга у новорожденных

Как лечить болезнь невролог определяет, опираясь на вид кистозного образования, его локализацию, склонность к увеличению. Ложная киста (киста сосудистых сплетений) специального лечения не требует – как правило, такие полости рассасываются самостоятельно.

За небольшими образованиями других типов сначала просто наблюдают. При больших размерах кисты либо при явном быстром увеличении полости назначается хирургическое лечение. Оно может быть трех видов:

  • Радикальное – проводится трепанация черепа. Киста удаляется полностью, вместе со стенками и жидким содержимым. Это операция на открытом мозге, отличается повышенной травматичностью, поэтому проводится в самых крайних случаях.
  • Паллиативное – метод шунтирования. Из кисты удаляется только жидкость. Если сравнивать с радикальной техникой, травматичность намного ниже. Однако есть значительный риск инфицирования из-за долгого нахождения в полости черепа шунта.
  • Эндоскопическое – киста удаляется при помощи специального эндоскопа. Метод относительно безопасный, травматичность низкая. Основной недостаток – высокая цена.

Чем опасна киста мозга

Если кистозное образование обнаружено вовремя, лечение проведено правильно – прогноз, в большинстве случаев, благоприятный. А вот несвоевременная диагностика, особенно если киста склонна к увеличению, может вызвать необратимые патологические изменения тканей мозга, влекущие за собой серьезнейшие проблемы со здоровьем.

Если вовремя не предпринять меры, могут развиться такие, часто приводящие к инвалидности опасные состояния:

  • Частичная или полная слепота и глухота.
  • Гидроцефалия, при которой в желудочках накапливается чрезмерное количество ликвора. Состояние ведет к серьезным нарушениям строения черепа – как следствие развиваются множественные дисфункции ЦНС.

Кроме того, врожденная киста головного мозга при стремительном росте вызывает обширные кровоизлияния, приводящие к летальному исходу. Поэтому, у входящих в группу риска младенцев крайне важно проводить регулярные обследования.

Причины образования

Самый ответственный и самый уязвимый период в развитии эмбриона – закладка внутренних органов. На протяжении всего развития плода могут появляться новообразования, но зачастую до момента рождения они все проходят сами. Если у новорожденного ребенка диагностировали кисту в голове, то это может свидетельствовать о различных нарушениях в работе нервной системы.

Факторы, которые могут повлиять на образование кист:

  • болезни инфекционного и венерического характера, перенесенные во время беременности женщины. Возбудители этих болезней проникают через плаценту и поражают мозговые клетки плода, в следствие чего и происходит образование кисты, сопровождающееся воспалением;
  • травмы, полученные при рождении и после родов. Если ребенок во время прохождения по маточному каналу получает травму головы, то у него может развиться киста;
  • врожденные патологии, из-за которых мозг получает недостаточное количество питательных веществ и кислорода. В последствии отмершие клетки мозга начинают накапливать жидкость, в результате чего образуется киста;
  • тяжелые воспалительные заболевания, к которым относятся менингит, энцефалит и так далее.

Все вышеперечисленные факторы способствуют отмиранию клеток головного мозга, и образованию пустого клеточного мешка, который с течением времени заполняется спинномозговой жидкостью. В большинстве случаев это может стать причиной неврологических нарушений, которые негативно влияют на рост и развитие ребенка.

Классификация кист

В зависимости от местоположения, времени появления и свойств кисты головного мозга у новорожденных подразделяют на три типа:

  1. Арахноидальная киста. Этот тип кисты располагается между поверхностью мозга и арахноидальной оболочкой. Размер опухоли может достигать нескольких сантиметров в диаметре. Причиной возникновения данного новообразования может быть сильное воспаление или травма, полученная механическим путём.Главная особенность арахноидальной кисты – её стремительность развития, что довольно часто приводит к различным осложнениям, связанным со сдавливанием тканей головного мозга. Как показывает статистика, данный вид опухоли встречается преимущественно у мальчиков.
  2. Субэлендемальная киста. Данный вид опухоли довольно опасный, и в случае отсутствия надлежащего лечения может привести к сильным осложнениям. Киста возникает при плохом кровообращении сосудов головного мозга, вследствие чего мозг получает недостаточное количество кислорода. Последствия такого кислородного голодания – отмирание клеток коры мозга, из которых потом образуется новая киста. Детей с субэлендемальной кистой необходимо обследовать раз в три месяца.Лучшим методом обследования при опухоли данного типа является МРТ. Если киста у новорожденного продолжает интенсивно расти, и в ней накапливается все больше жидкости, то это может пагубно сказаться на прилегающих тканях головного мозга, поменяв их расположение и структуру.Субэлендемальная киста провоцирует судороги, отклонения в работе нервной системы ребенка, ухудшая его общее самочувствие.
  3. Киста сосудистых сплетений. Этот вид кисты можно диагностировать еще на этапе развития внутри утробы матери. Во врачебной практике наличие таких кист считается нормальным, и они возникают на стадии беременности практически всегда. Такой вид опухоли считается самым безопасным и как правило рассасывается самостоятельно.Если киста сосудистых сплетений осталась у ребенка и после родов, то это может свидетельствовать о том, что мать в период беременности перенесла тяжелое инфекционное заболевание, или же у нее были тяжелые роды.

Симптомы

Киста большого размера у новорожденного может стать причиной паталогических нарушений в органах новорожденного. Киста в голове у новорожденного может увеличиваться из-за таких факторов:

  • при увеличении давления жидкостью на стенки кисты;
  • при воспалительных процессах в детском организме;
  • травмы головы любого характера – сотрясение, ушиб и так далее.

Даже если у ребенка есть кистообразная опухоль, она может себя никак не проявлять впредь до подросткового возраста. Но даже в таком случае ребенок нуждается в регулярном медицинском наблюдении.

Самый опасный период при развитии кисты – подростковый, так как именно в этот период даже самая незаметная и безвредная киста может начать стремительно развиваться до огромных размеров.

Если у ребенка киста большого размера, то она может давить на ткани мозга, вызывая такие негативные последствия:

  • постоянные головные боли, сопровождающиеся тошнотой и рвотой;
  • ослабление слуха, ухудшение зрения, обоняния;
  • отсутствие здорового сна;
  • плохая координация в пространстве;
  • высокое внутричерепное и артериальное давление;
  • приступы судороги, потеря сознания;
  • приступы эпилепсии;
  • онемение рук и ног.

Во многом симптомы зависят от того, где находится киста. Если опухоль находится ближе к затылку, то чревато плохим зрением, двоением в глазах, появления «затуманенного» взгляда.

Кистообразное образование в районе мозжечка негативно влияет на координацию ребенка в пространстве. Если опухоль находится в районе гипофиза, то нарушается работа эндокринной системы. При самых тяжелых видах кисты ребенок может отстать в развитии, как умственном, так и физическом.

Диагностика

У детей до 1 года кисту диагностируют с помощью нейросонографии. Первая группа риска, которой необходимо обследование на наличие кисты – недоношенные, ослабленные дети, у которых во время вынашивания была киста головного мозга. Помимо них в обследовании нуждаются дети, которых реанимировали при родах. Детям старше 1 года проводят МРТ и компьютерную томографию.

Если у ребенка обнаружена инфекция или нарушено кровообращение, вследствие чего и образовалась киста, то понадобятся другие типы исследований:

  • доплерография кровеносных сосудов;
  • кардиография;
  • замер артериального и внутричерепного давления;
  • различные анализы крови.

Лечение

Лечение полностью зависит от того, какого рода киста у ребенка. Лечение не требуется, если у ребенка обнаружили кисту сосудистых сплетений, так как до 1 года киста должна самостоятельно рассосаться. В этом случае необходимо вовремя избавиться от инфекции и воспалительного процесса, которые могли привести к образованию кисты.

Если кистозные образования слишком большие и постоянно растут, то нужно прибегать к оперативному вмешательству. Лечение таких кист бывает трех видов:

Последствия кисты

Киста – доброкачественная опухоль, но даже её последствия в голове у новорожденного ребенка могут быть весьма серьезными.

Маленькие кистозные образования, как правило, проходят самостоятельно, однако в любое время они могут начать интенсивно расти. Главное – никогда не упускать их из внимания и регулярно проходить профилактические обследования.

Отсутствие своевременной медицинской помощи может стать причиной необратимых патологий:

  • потере слуха и зрения;
  • неправильной работе части мозга, отвечающей за координацию;
  • гемморагическому инсульту;
  • гидроцефалии;
  • кровоизлияниям в головной мозг, а как следствие к летальному исходу.

Отзывы

Как показали научные исследования, при должном медицинском наблюдении дети с кистой головного мозга могут нормально жить и развиваться. Такой вывод был основан на многочисленных отзывах родителей и лечащих врачей. Самое главное в такой ситуации – быть крайне внимательным, и регулярно проходить медицинские обследования для предотвращения осложнений, связанных с кистой головного мозга.

Ссылка на основную публикацию
Похожее